Фото: laodong.vn |
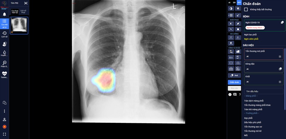
DrAid против COVID-19 – основанный на искусственном интеллекте продукт компании VinBrain корпорации Vingroup – одобрен научным советом Минздрава Вьетнама и рекомендован к ежедневному применению в больницах страны. Этот инструмент может классифицировать и прогнозировать течение болезни у пациентов с коронавирусом, что помогает более эффективно бороться с пандемией.
По словам врачей из Медицинского центра уезда Киань (провинция Хатинь) искусственный интеллект помогает им следить за состоянием больных каждый день, оценивать степень повреждения органов и выявлять труднонаблюдаемые проблемы.
DrAid против COVID-19 является первым в своем роде приложением на основе ИИ, которое рекомендует Минздрав для больниц Вьетнама.
Vietnamese
中文
日本語
한국어
Français
Русский
Deutsch
Español
Bahasa Indonesia
ไทย
ພາສາລາວ
ខ្មែរ

