DrAid cho COVID-19, sản phẩm ứng dụng Trí tuệ nhân tạo (AI) của Công ty Cổ phần VinBrain (thuộc Tập đoàn Vingroup), vừa được Hội đồng Khoa học Bộ Y tế nghiệm thu và đặc biệt kiến nghị nên sớm đưa vào sử dụng hàng ngày tại các bệnh viện trong giai đoạn dịch COVID-19 đang lây lan như hiện nay. Đây được coi là một công cụ hỗ trợ sàng lọc và tiên lượng điều trị COVID-19 mới hữu hiệu, góp phần chủ động dự phòng và kiểm soát dịch hiệu quả.
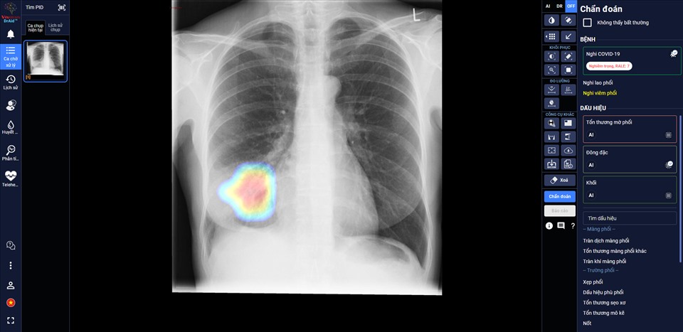
DrAid giúp bác sĩ theo dõi mức độ tổn thương phổi ở một bệnh nhân F0 trên ảnh X-quang phổi. Nguồn: laodong.vn |
Theo đánh giá của các bác sĩ tại Trung Tâm Y Tế Kỳ Anh – Hà Tĩnh, AI đã giúp đỡ các bác sĩ theo dõi tổn thương của bệnh nhân qua các ngày, nhận diện rõ ràng là tổn thương lan rộng như thế nào,nhận diện các tổn thương nhỏ dễ bỏ sót.
Với khả năng giải toàn diện bài toán COVID-19, DrAid cho COVID-19 hiện là ứng dụng trí tuệ nhân tạo đầu tiên và duy nhất tại Việt Nam đã được Hội đồng Khoa học Bộ Y tế nghiệm thu và kiến nghị đưa vào phác đồ chẩn đoán và điều trị COVID-19 tại các bệnh viện trên toàn quốc.
Vietnamese
中文
日本語
한국어
Français
Русский
Deutsch
Español
Bahasa Indonesia
ไทย
ພາສາລາວ
ខ្មែរ

