![]() |
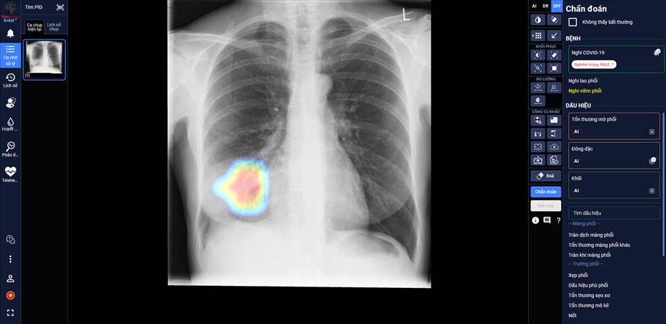
ベトナムの大手複合企業ビングループ傘下のVinBrain株式会社が開発したこのソフトウェアは、新型コロナ感染者の胸を撮影したレントゲン写真2万1千枚と普通の人の胸を撮影したレントゲン写真約12万を比較することによって感染者を発見できるとともに、患者の病症の評価及びこれからの動きを予測することができます。また、このソフトウェアは各病院のパソコンシステムに取り入れやすいとされています。
保健省は、全国の病院にこのソフトウェアの早期利用を提案しています。
English
(VOVWORLD) - 先ごろ、保健省は、AI人工知能を新型コロナ感染者治療に導入する「新型コロナのドクターエイド(DrAid for Covid-19)」というソフトウェアを承認しました。
![]() |
ベトナムの大手複合企業ビングループ傘下のVinBrain株式会社が開発したこのソフトウェアは、新型コロナ感染者の胸を撮影したレントゲン写真2万1千枚と普通の人の胸を撮影したレントゲン写真約12万を比較することによって感染者を発見できるとともに、患者の病症の評価及びこれからの動きを予測することができます。また、このソフトウェアは各病院のパソコンシステムに取り入れやすいとされています。
保健省は、全国の病院にこのソフトウェアの早期利用を提案しています。